These Everyday Products Are Now Linked to Serious Injuries — See If You May Qualify for a Claim
Learn which everyday products are linked to cancer and serious injuries. See if you or a loved one may qualify for compensation in these major lawsuits.
Across the country, individuals are bringing claims against major corporations for injuries linked to everyday products, medications, and services. Below is a detailed overview of the most significant mass torts in 2026—what the products are, how they are used, the injuries alleged, and where each litigation currently stands.
Quick Summary
Talcum Powder (Johnson & Johnson and Others)
Talcum powder products, including those manufactured by Johnson & Johnson, have long been marketed for personal hygiene use. Plaintiffs allege that certain talc products were contaminated with asbestos and, when used over time, caused ovarian cancer and mesothelioma. Internal documents and expert testimony have been central to these claims. This remains one of the largest mass torts in the country, with tens of thousands of pending cases and multiple recent verdicts in the hundreds of millions to billions of dollars. Despite attempted bankruptcy strategies, litigation continues nationwide, with significant pressure on defendants to reach a global settlement.
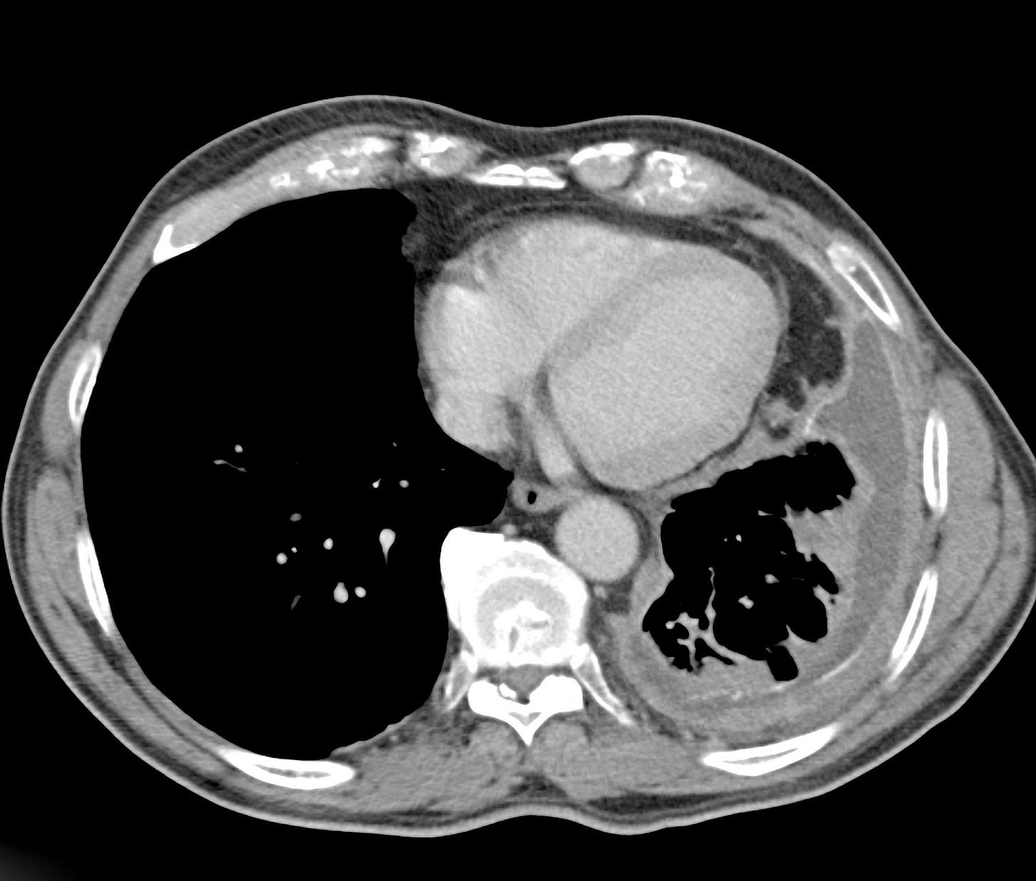
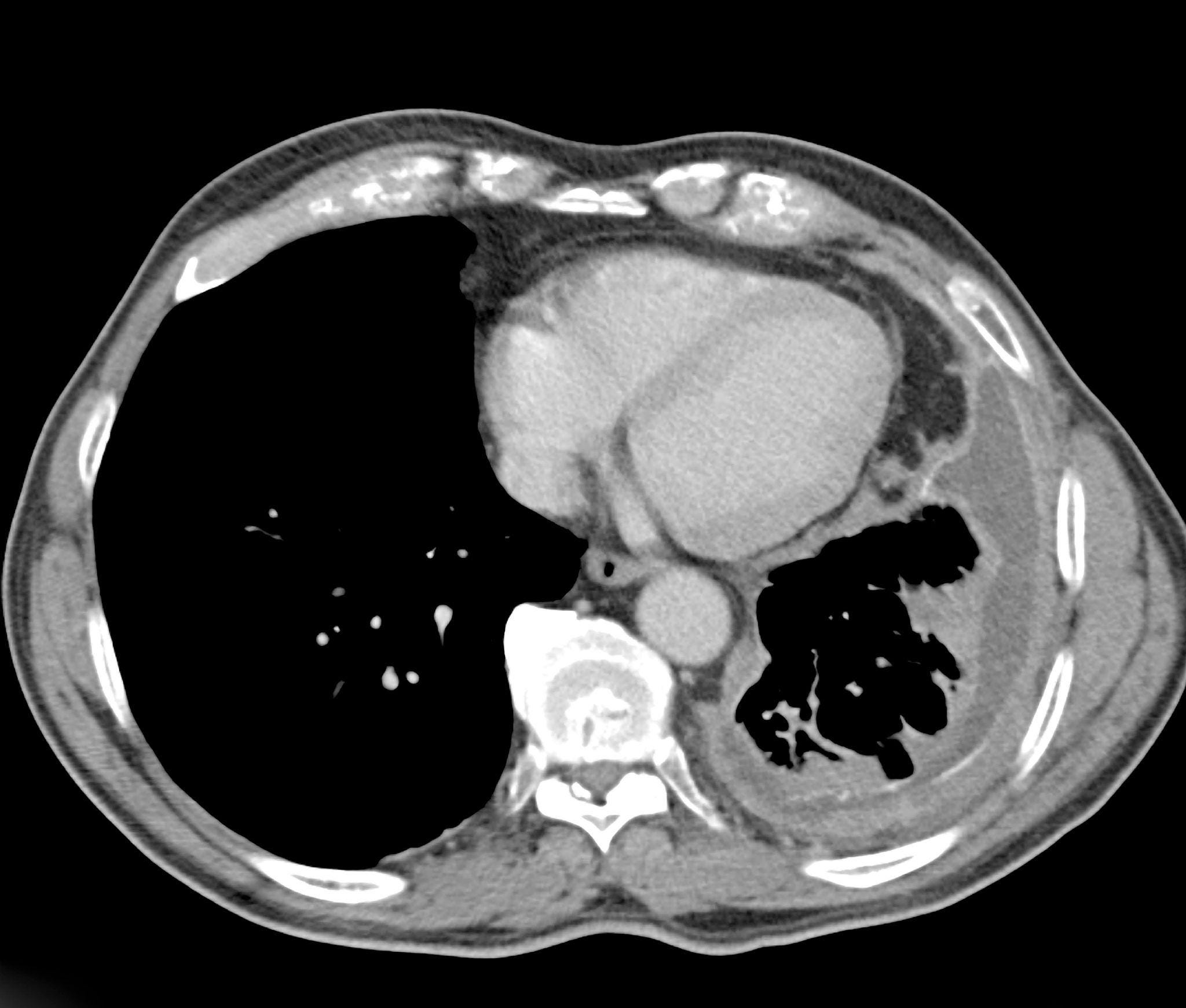
Mesothelioma and Asbestos Exposure
Asbestos was widely used for decades in construction materials, insulation, and industrial products due to its heat-resistant properties. Exposure—often occupational or secondary—has been linked to mesothelioma, lung cancer, and other serious pulmonary diseases such as asbestosis. These diseases typically develop years or decades after exposure, making diagnosis and causation complex. Although asbestos litigation is a mature area of law, it remains highly active, with new claims filed regularly. Recent cases increasingly involve asbestos-contaminated consumer products, including talc. Courts across the country continue to see significant verdicts and settlements in favor of individuals suffering from these devastating illnesses.
Hernia Mesh (C.R. Bard, Ethicon, Covidien)
Hernia mesh devices are surgically implanted to support weakened or damaged tissue during hernia repair procedures. Manufacturers such as C. R. Bard, Ethicon, and Medtronic (Covidien) are defendants in thousands of lawsuits. Plaintiffs allege that defective mesh products can shrink, migrate, or erode, leading to chronic pain, infection, adhesions, bowel obstruction, and the need for revision surgery. These cases are consolidated in multiple federal MDLs and state court proceedings. While some settlements have occurred, litigation remains ongoing, with continued trials and negotiations shaping the future of the docket.
Paraquat Herbicide
Paraquat is a powerful herbicide used primarily in agricultural settings for weed control. Plaintiffs allege that prolonged exposure to paraquat is linked to the development of Parkinson’s disease, a progressive neurological disorder affecting movement and motor control. Many individuals bringing claims are farmers or agricultural workers who handled the chemical regularly. Litigation has grown rapidly and is centralized in federal court, where thousands of cases are proceeding through coordinated discovery. The parties are preparing for bellwether trials, which will serve as test cases and likely influence settlement discussions and overall valuation of claims moving forward.
AFFF / PFAS Firefighting Foam
Aqueous Film-Forming Foam (AFFF) has been widely used by military personnel, firefighters, and airport crews to combat fuel-based fires. The foam contains PFAS chemicals, often referred to as “forever chemicals” because they persist in the environment and the human body. Plaintiffs allege exposure to PFAS has caused various cancers and chronic health conditions, including kidney and testicular cancer. This litigation has become one of the largest environmental mass torts in the country, involving both personal injury and municipal water contamination claims. Significant settlements have already been reached in certain categories, while individual injury claims continue to move forward.
Hair Relaxer Litigation
Chemical hair relaxers are commonly used to straighten hair, particularly among women who use these products over long periods of time. Lawsuits allege that repeated exposure to certain chemicals in these products increases the risk of uterine cancer, ovarian cancer, and other hormone-related conditions. Scientific studies have drawn connections between endocrine-disrupting chemicals and these health outcomes. The litigation has expanded rapidly, with thousands of cases consolidated into a federal MDL. The cases are still in the early stages, with discovery ongoing and bellwether trials expected to play a critical role in determining the strength and value of claims.
Ozempic and GLP-1 Weight Loss Drugs
Medications such as Ozempic and similar GLP-1 receptor agonists are widely prescribed for diabetes management and weight loss. While these drugs have gained popularity, lawsuits allege that they can cause severe gastrointestinal injuries, including gastroparesis, stomach paralysis, and bowel obstruction. Some plaintiffs report long-term digestive complications even after discontinuing the medication. This is a rapidly developing pharmaceutical mass tort, with thousands of cases already filed. The litigation is in its early stages, with courts overseeing coordinated proceedings and the parties preparing for key rulings that will shape the trajectory of the cases.
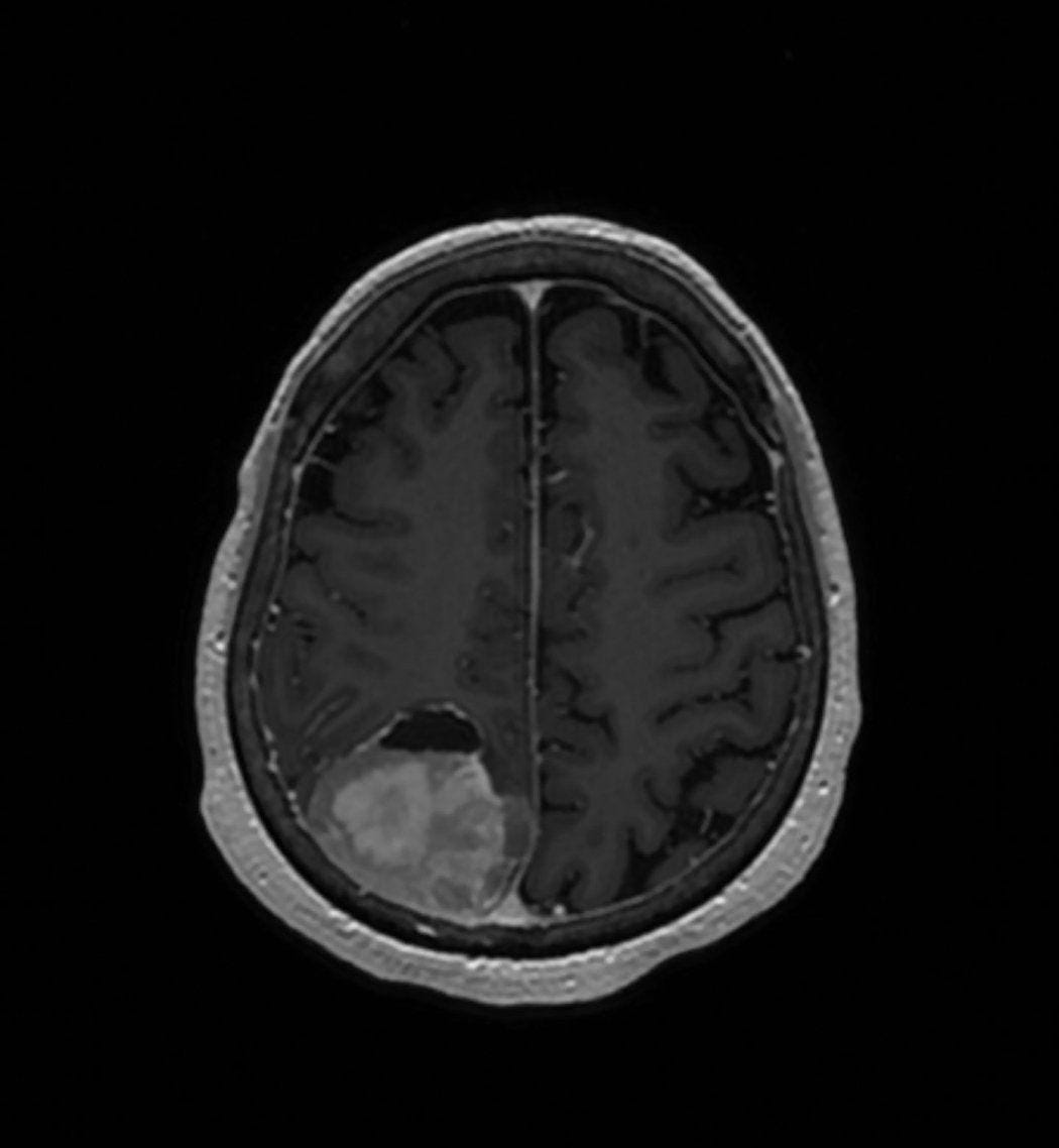
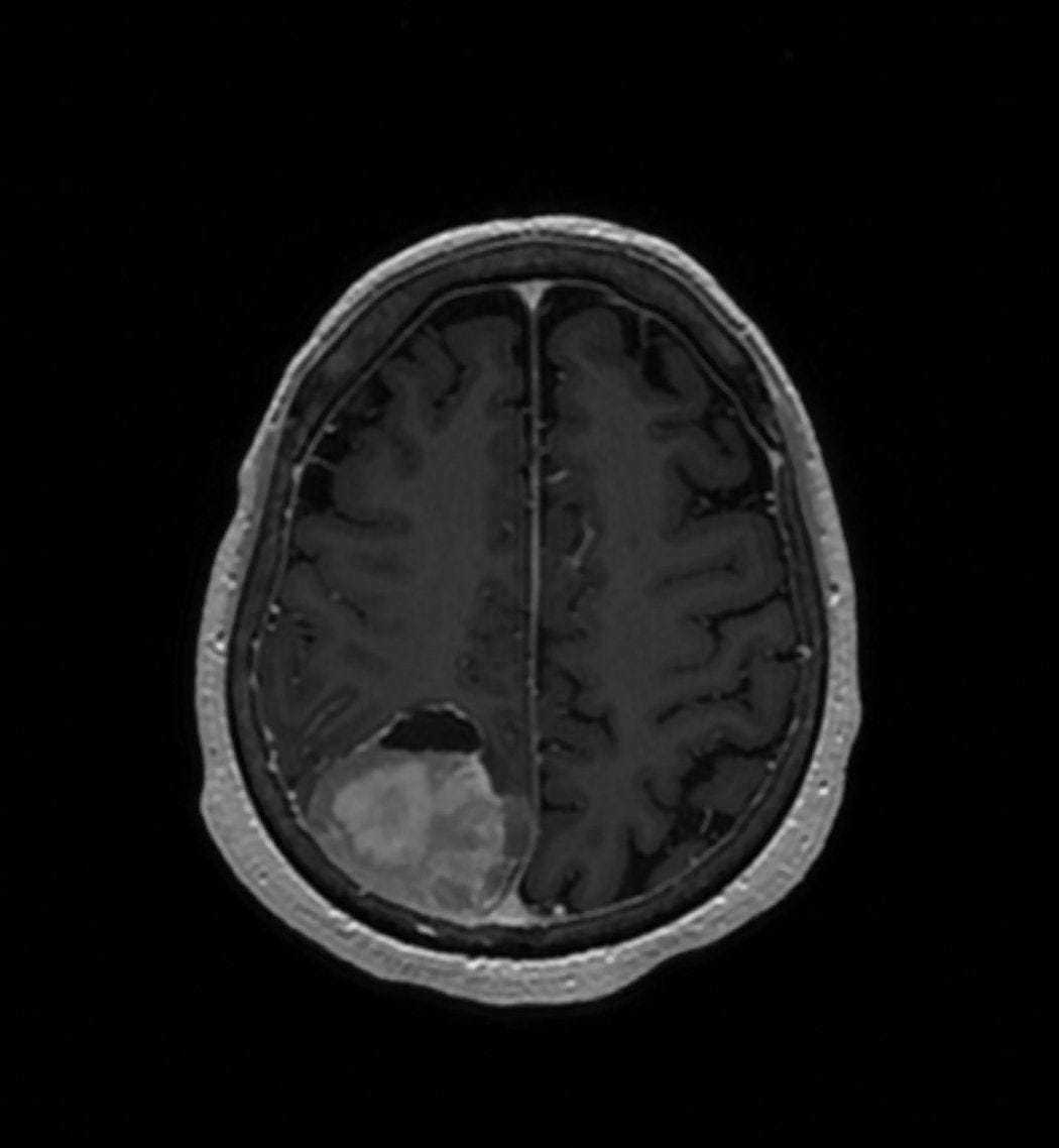
Depo-Provera (Brain Tumor Claims)
Depo-Provera is an injectable contraceptive. Lawsuits allege that prolonged use of the drug is associated with the development of meningiomas, a type of brain tumor that can cause serious neurological symptoms. Plaintiffs claim that the risks were not adequately disclosed. This litigation has expanded quickly and is now centralized in federal court. With thousands of claims already filed, the case is moving at a faster pace than many traditional pharmaceutical mass torts, and early trial settings are anticipated, making it one of the most closely watched emerging dockets.
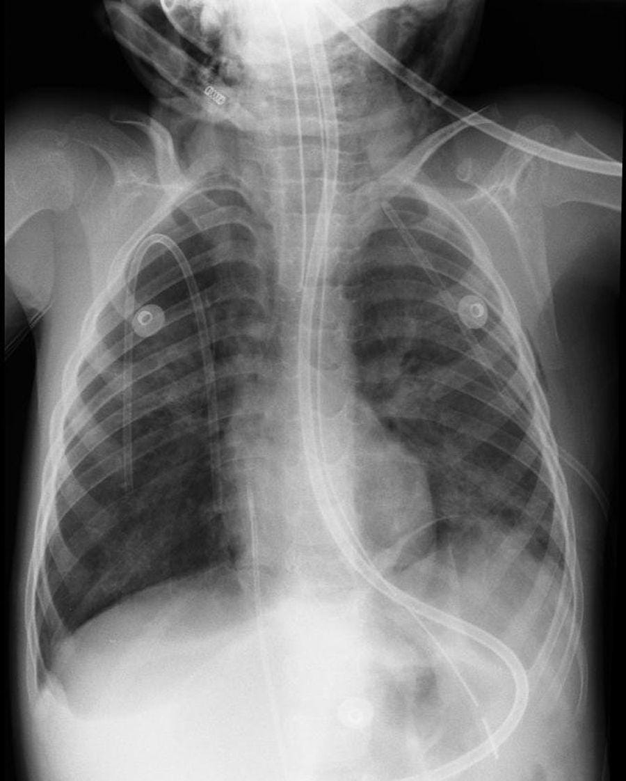
Bard PowerPort
The Bard PowerPort is an implanted catheter device used to deliver medications directly into the bloodstream, often for chemotherapy or long-term treatment. Lawsuits allege that the device can fracture or migrate, causing serious internal injuries, blood clots, infections, and the need for surgical removal. Manufactured by C. R. Bard, the product is the subject of a rapidly growing MDL. Plaintiffs claim the device was defectively designed and that safer alternatives were available. The litigation is currently in the coordinated discovery phase, with thousands of cases pending and expectations for future bellwether trials.
Social Media and Tech Addiction
Social media platforms operated by companies such as Meta Platforms and Alphabet Inc. are facing lawsuits alleging that their products are intentionally designed to maximize user engagement in ways that can harm minors. Claims focus on addiction, depression, anxiety, and self-harm linked to prolonged use. Plaintiffs argue that algorithms and platform design choices contributed to these outcomes. This is an emerging area of litigation, with cases consolidated in federal court and early trials beginning to test liability theories.
Camp Lejeune Water Contamination
For decades, individuals living and working at Camp Lejeune were exposed to contaminated drinking water containing toxic chemicals. These exposures have been linked to various cancers and serious health conditions. Under federal law, affected individuals and their families are now able to bring claims against the government. While this is not a traditional MDL, it is one of the largest coordinated compensation efforts in recent history, with ongoing settlement activity.
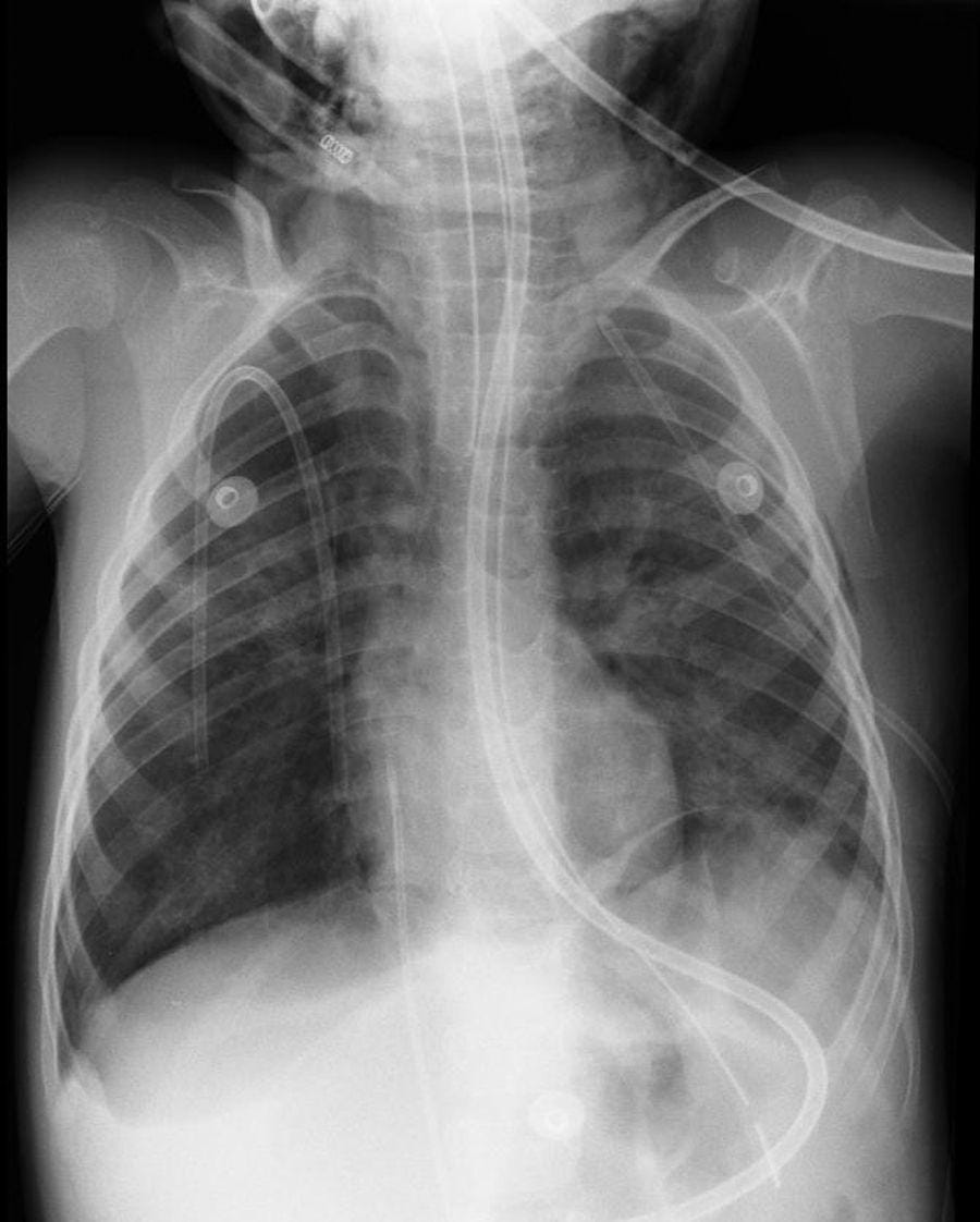
CPAP Device Recalls (Philips)
CPAP machines manufactured by Philips are used to treat sleep apnea and other breathing disorders. A large-scale recall was issued after it was discovered that internal foam components could degrade and release toxic particles. Plaintiffs allege that exposure has caused respiratory injuries and cancer. The litigation is centralized in federal court and remains active, with settlement discussions ongoing for certain categories of claims.
Paragard IUD
The Paragard intrauterine device is a hormone-free contraceptive used for long-term pregnancy prevention. Lawsuits allege that the device can break during removal, leaving fragments inside the body and requiring additional procedures. Plaintiffs report pain, complications, and potential fertility issues. The litigation is centralized in federal court and continues to move forward as courts address product design and warning claims.
Rideshare Sexual Assault (Uber and Lyft)
Rideshare companies such as Uber Technologies and Lyft provide transportation services used by millions. Lawsuits allege that these companies failed to implement adequate safety measures to prevent sexual assaults by drivers. Thousands of cases are pending, and the first bellwether trial has already taken place, marking a critical stage in determining liability and potential settlement value.
Roblox Child Exploitation Litigation
The platform operated by Roblox Corporation allows users—many of them minors—to interact in virtual environments. Lawsuits allege that the platform failed to protect children from grooming and exploitation. These cases are newly centralized in federal court and are in the early stages of litigation, with discovery underway and key legal issues yet to be decided.
Speak With an Attorney About Your Case
If you or a loved one has suffered from any of the injuries described above, you may be entitled to compensation. The process starts with a quick, confidential review of your situation.
Text or email me directly with:
Your name
The litigation that would apply to your or your loved one’s situation
The injury or diagnosis
Approximate dates of use and diagnosis
I will personally review your information and respond within the hour to let you know if you may qualify for a claim.
Text/Call: 215-326-9256
Email: dcarney@greenlegalteam.com



















































































